13 de abril de 2026
escolha sua cidade
Bauru
Nacional
Araçatuba
Bauru
Campinas
Franca
Jundiaí
Piracicaba
São José dos Campos
JCNET - Sampi Bauru
JCNET - Sampi Bauru
últimas
regiões
editorias
editorias
Agenda
Bauru e Região
Brasil e Mundo
Café com Política
Celebs
Charges
Cidade 360
Cinemas
Conteúdo de Marca
Cultura
Economia & Negócios
Empresas e Negócios
Entrelinhas
Esporte
Falecimentos
Gente, Negócios & Propaganda
Guia de Benefícios
Olimpíadas
Polícia
Política
Regional
Tribuna do Leitor
Vida Profissional
colunistas sampi
colunistas sampi
Anderson Farias
Corrêa Neves Jr.
Guilherme Cortez
Guilherme Del Bianco
Guilherme Del Bianco e Carlos Eduardo Silva Jr.
José Antonio Parimoschi
José Milagre
Lucas Augusto Machado
Luiz Fernando Machado
Rafa Zimbaldi
colunistas
colunistas
Alberto Consolaro
Coluna Animal
Conversando com o Bispo
Daniela Hueb
Davison de Lucas
Du Mauad Sports
Fernanda Cavenaghi
Lisia Vargas
Reflexão e Fé
Reinaldo Cafeo
podcast
variedades
variedades
Antônia Maria Zogaeb
Classificados
Café com Política
Cidade 360
Política de Privacidade
Publicidade Legal
Receitas da Sônia
edição digital
check-in
Sobre a Sampi
Termos de uso
Política de Privacidade
Fale com a Sampi
Envie seu Currículo
últimas
regiões
digital
agenda
cidade 360
check-in
classificados
assine
buscar
escolha outra cidade
Siga JCNET nas Redes Sociais |
@jcnetbauru
Alberto Consolaro
COLUNISTA
Já sentiu a sincronicidade?
11.04.2026 09h19
COLUNISTA
Já sentiu a sincronicidade?
11.04.2026 09h19
COLUNISTA
Já refletiu sobre a Serendipidade?
04.04.2026 08h11
COLUNISTA
Já refletiu sobre a Serendipidade?
04.04.2026 08h11
COLUNISTA
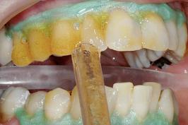
Onde está o dente que não apareceu na boca?
28.03.2026 06h47
COLUNISTA
Onde está o dente que não apareceu na boca?
28.03.2026 06h47
COLUNISTA
Bisfosfonatos e os ossos maxilares
21.03.2026 07h56
COLUNISTA
Bisfosfonatos e os ossos maxilares
21.03.2026 07h56
COLUNISTA
Osteoporose não afeta os maxilares
14.03.2026 09h41
COLUNISTA
Osteoporose não afeta os maxilares
14.03.2026 09h41
COLUNISTA
Clareamento dentário interno: ainda se faz?
07.03.2026 07h00
COLUNISTA
Clareamento dentário interno: ainda se faz?
07.03.2026 07h00
COLUNISTA
Regeneração neural periférica
28.02.2026 08h59
COLUNISTA
Regeneração neural periférica
28.02.2026 08h59
COLUNISTA
Assimetria facial, não adie o diagnóstico
21.02.2026 10h38
COLUNISTA
Assimetria facial, não adie o diagnóstico
21.02.2026 10h38
COLUNISTA
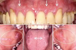
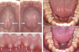
Onde ocorre mais o câncer dentro da boca
14.02.2026 06h32
COLUNISTA
Onde ocorre mais o câncer dentro da boca
14.02.2026 06h32
COLUNISTA
Descoberta em Marrocos e os dentes são iguais
07.02.2026 09h16
COLUNISTA
Descoberta em Marrocos e os dentes são iguais
07.02.2026 09h16
COLUNISTA
O raio que passou pela boca
31.01.2026 09h17
COLUNISTA
O raio que passou pela boca
31.01.2026 09h17
COLUNISTA
Faculdade com avaliação ruim e o mestrado
24.01.2026 05h54
COLUNISTA
Faculdade com avaliação ruim e o mestrado
24.01.2026 05h54
COLUNISTA
Quem deu nome aos dentes?
17.01.2026 08h14
COLUNISTA
Quem deu nome aos dentes?
17.01.2026 08h14
COLUNISTA
Por que a dor de dente é insuportável?
10.01.2026 07h55
COLUNISTA
Por que a dor de dente é insuportável?
10.01.2026 07h55
COLUNISTA
Bati o dente e trinquei o esmalte
03.01.2026 09h55
COLUNISTA
Bati o dente e trinquei o esmalte
03.01.2026 09h55
COLUNISTA
A maior picaretagem do ano
27.12.2025 09h24
COLUNISTA
A maior picaretagem do ano
27.12.2025 09h24
COLUNISTA
Câncer e Autoestima: tem relação?
20.12.2025 06h41
COLUNISTA
Câncer e Autoestima: tem relação?
20.12.2025 06h41
COLUNISTA
Como explicar os Toros?
13.12.2025 07h55
COLUNISTA
Como explicar os Toros?
13.12.2025 07h55
COLUNISTA
Não adianta só reimplantar
06.12.2025 09h39
COLUNISTA
Não adianta só reimplantar
06.12.2025 09h39
COLUNISTA
Tatuagem como homenagem
29.11.2025 10h10
COLUNISTA
Tatuagem como homenagem
29.11.2025 10h10
COLUNISTA
Exatamente, o que é dente? Forma tumor?
22.11.2025 08h08
COLUNISTA
Exatamente, o que é dente? Forma tumor?
22.11.2025 08h08
CIÊNCIA
Dente de leite em adulto: deve?
15.11.2025 13h57
CIÊNCIA
Dente de leite em adulto: deve?
15.11.2025 13h57
COLUNISTA
Infecção não é inflamação
08.11.2025 06h59
COLUNISTA
Infecção não é inflamação
08.11.2025 06h59
COLUNISTA
Câncer e inflamação, as causas são outras
01.11.2025 08h29
COLUNISTA
Câncer e inflamação, as causas são outras
01.11.2025 08h29
COLUNISTA
A ‘dança’ dos dentes não para!
25.10.2025 07h47
COLUNISTA
A ‘dança’ dos dentes não para!
25.10.2025 07h47
COLUNISTA
Todos poderiam ser professor!
18.10.2025 09h20
COLUNISTA
Todos poderiam ser professor!
18.10.2025 09h20
COLUNISTA
Dor e parestesia após anestesia e as agulhas
11.10.2025 09h56
COLUNISTA
Dor e parestesia após anestesia e as agulhas
11.10.2025 09h56
COLUNISTA
Quem leva o dente para fora do osso?
04.10.2025 07h14
COLUNISTA
Quem leva o dente para fora do osso?
04.10.2025 07h14
COLUNISTA
Dentes decíduos, apoptose e as estações
27.09.2025 05h53
COLUNISTA
Dentes decíduos, apoptose e as estações
27.09.2025 05h53
COLUNISTA
Leucemia na gengiva e o escorbuto
20.09.2025 09h50
COLUNISTA
Leucemia na gengiva e o escorbuto
20.09.2025 09h50
COLUNISTA
Significado do pus e os antibióticos
13.09.2025 06h36
COLUNISTA
Significado do pus e os antibióticos
13.09.2025 06h36
COLUNISTA
Didática é dom, arte ou ciência?
06.09.2025 06h51
COLUNISTA
Didática é dom, arte ou ciência?
06.09.2025 06h51
COLUNISTA
Nico e neuralgia, desespero e esperança
30.08.2025 07h51
COLUNISTA
Nico e neuralgia, desespero e esperança
30.08.2025 07h51
COLUNISTA
Fazer o canal não faz mal a ninguém
23.08.2025 06h03
COLUNISTA
Fazer o canal não faz mal a ninguém
23.08.2025 06h03
COLUNISTA
Coração de titânio e alergistas de implantes
16.08.2025 06h36
COLUNISTA
Coração de titânio e alergistas de implantes
16.08.2025 06h36
COLUNISTA
Chamar de controverso, é apelação!
09.08.2025 09h44
COLUNISTA
Chamar de controverso, é apelação!
09.08.2025 09h44
COLUNISTA
Clareadores dentários e o câncer
02.08.2025 06h45
COLUNISTA
Clareadores dentários e o câncer
02.08.2025 06h45
COLUNISTA
Sol nos lábios e a queilite actínica
26.07.2025 07h10
COLUNISTA
Sol nos lábios e a queilite actínica
26.07.2025 07h10
COLUNISTA
As mandíbulas grandes e a nobreza
19.07.2025 08h42
COLUNISTA
As mandíbulas grandes e a nobreza
19.07.2025 08h42
COLUNISTA
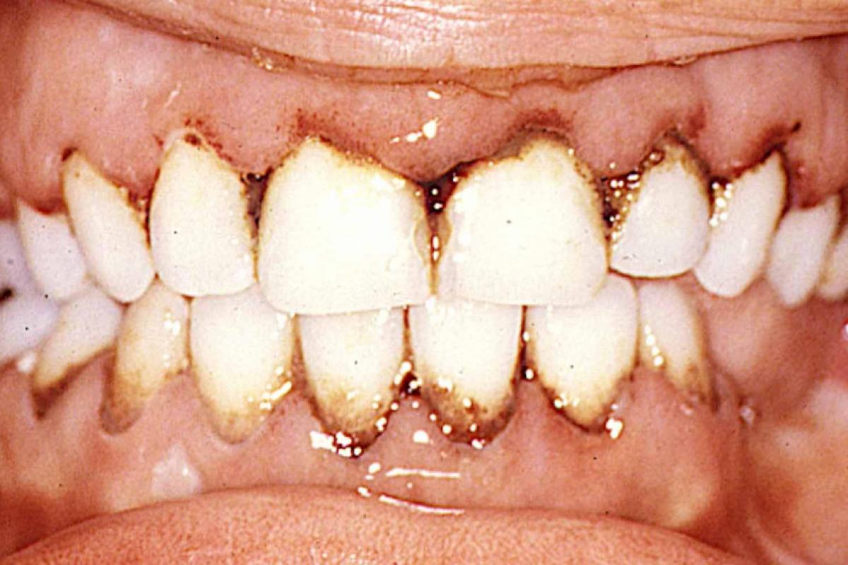
O enigma do dente escurecido
12.07.2025 09h09
COLUNISTA
O enigma do dente escurecido
12.07.2025 09h09
COLUNISTA
Pierre Robin e as mandíbulas pequenas
05.07.2025 07h23
COLUNISTA
Pierre Robin e as mandíbulas pequenas
05.07.2025 07h23
COLUNISTA
Bebidas alcoólicas, o vinho e o câncer
28.06.2025 06h58
COLUNISTA
Bebidas alcoólicas, o vinho e o câncer
28.06.2025 06h58
COLUNISTA
Roda é científica? E experiência pessoal?
21.06.2025 06h23
COLUNISTA
Roda é científica? E experiência pessoal?
21.06.2025 06h23
COLUNISTA
Calcanhar de Aquiles e a estranheza dos dentes
14.06.2025 06h01
COLUNISTA
Calcanhar de Aquiles e a estranheza dos dentes
14.06.2025 06h01
COLUNISTA
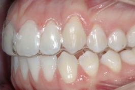
Alinhadores: o protagonismo é do paciente
07.06.2025 07h50
COLUNISTA
Alinhadores: o protagonismo é do paciente
07.06.2025 07h50
COLUNISTA
Câncer bucal: só apelando para o Abujamra
31.05.2025 06h26
COLUNISTA
Câncer bucal: só apelando para o Abujamra
31.05.2025 06h26
CIÊNCIA
Melhor usar gaze ou algodão?
24.05.2025 06h35
CIÊNCIA
Melhor usar gaze ou algodão?
24.05.2025 06h35
COLUNISTA
Humanos com dentes em forma de clava
17.05.2025 07h41
COLUNISTA
Humanos com dentes em forma de clava
17.05.2025 07h41
COLUNISTA
A essência de uma universidade
10.05.2025 06h44
COLUNISTA
A essência de uma universidade
10.05.2025 06h44
COLUNISTA
Não existe forma segura de ingerir álcool
03.05.2025 05h53
COLUNISTA
Não existe forma segura de ingerir álcool
03.05.2025 05h53
COLUNISTA
Trump e a Universidade de Havard
26.04.2025 08h16
COLUNISTA
Trump e a Universidade de Havard
26.04.2025 08h16
COLUNISTA
Ela usa dentadura e o marido não sabe
19.04.2025 07h29
COLUNISTA
Ela usa dentadura e o marido não sabe
19.04.2025 07h29
COLUNISTA
Dente dá origem ao câncer?
12.04.2025 05h38
COLUNISTA
Dente dá origem ao câncer?
12.04.2025 05h38
COLUNISTA
Na boca é cosmético ou medicamento?
05.04.2025 06h48
COLUNISTA
Na boca é cosmético ou medicamento?
05.04.2025 06h48
COLUNISTA
Bactérias no sangue: um perigo real
29.03.2025 06h53
COLUNISTA
Bactérias no sangue: um perigo real
29.03.2025 06h53
COLUNISTA
Microplásticos, macrófagos e nossa vida
22.03.2025 06h02
COLUNISTA
Microplásticos, macrófagos e nossa vida
22.03.2025 06h02
COLUNISTA
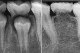
A raiz sumiu: dentes são reabsorvidos
15.03.2025 07h18
COLUNISTA
A raiz sumiu: dentes são reabsorvidos
15.03.2025 07h18
COLUNISTA
Você não tem esqueleto!
08.03.2025 06h50
COLUNISTA
Você não tem esqueleto!
08.03.2025 06h50
COLUNISTA
Língua Geográfica e seus significados
01.03.2025 05h37
COLUNISTA
Língua Geográfica e seus significados
01.03.2025 05h37
COLUNISTA
Nos livramos do câncer diariamente
22.02.2025 06h26
COLUNISTA
Nos livramos do câncer diariamente
22.02.2025 06h26
COLUNISTA
O que significa um dente anquilosado?
15.02.2025 06h07
COLUNISTA
O que significa um dente anquilosado?
15.02.2025 06h07
COLUNISTA
Está infectado ou inflamado?
08.02.2025 06h18
COLUNISTA
Está infectado ou inflamado?
08.02.2025 06h18
COLUNISTA
Causas das Fissuras Labiopalatinas
01.02.2025 09h43
COLUNISTA
Causas das Fissuras Labiopalatinas
01.02.2025 09h43
COLUNISTA
Celular: proibir é educar?
25.01.2025 06h25
COLUNISTA
Celular: proibir é educar?
25.01.2025 06h25
COLUNISTA
Envelhecer: vale a pena adiar?
18.01.2025 06h11
COLUNISTA
Envelhecer: vale a pena adiar?
18.01.2025 06h11
COLUNISTA
Reflexões e saúde mental: o que faço na Terra?
11.01.2025 09h14
COLUNISTA
Reflexões e saúde mental: o que faço na Terra?
11.01.2025 09h14
COLUNISTA
Teremos menos dentes ou é lenda urbana?
04.01.2025 06h26
COLUNISTA
Teremos menos dentes ou é lenda urbana?
04.01.2025 06h26
OPINIÃO
A negritude em uma lesão dentária
28.12.2024 07h27
OPINIÃO
A negritude em uma lesão dentária
28.12.2024 07h27
COLUNISTA
Creme na boca faz aparecer novos dentes?
21.12.2024 06h11
COLUNISTA
Creme na boca faz aparecer novos dentes?
21.12.2024 06h11
COLUNISTA
Tem um anel na garganta
14.12.2024 06h01
COLUNISTA
Tem um anel na garganta
14.12.2024 06h01
COLUNISTA
Tonsila lateral, HPV e câncer na língua
07.12.2024 06h03
COLUNISTA
Tonsila lateral, HPV e câncer na língua
07.12.2024 06h03
COLUNISTA
Quem dá cor aos dentes?
30.11.2024 05h33
COLUNISTA
Quem dá cor aos dentes?
30.11.2024 05h33
COLUNISTA
Gravidez não enfraquece dentes
23.11.2024 06h48
COLUNISTA
Gravidez não enfraquece dentes
23.11.2024 06h48
COLUNISTA
Esmalte tem vida, ‘chora e sangra’!
16.11.2024 06h33
COLUNISTA
Esmalte tem vida, ‘chora e sangra’!
16.11.2024 06h33
COLUNISTA
O significado das fossetas!
09.11.2024 11h30
COLUNISTA
O significado das fossetas!
09.11.2024 11h30
COLUNISTA
Língua Crenada é normal ou aceitável?
02.11.2024 06h12
COLUNISTA
Língua Crenada é normal ou aceitável?
02.11.2024 06h12
COLUNISTA
Aftas: causas, prevenção e condutas
26.10.2024 12h20
COLUNISTA
Aftas: causas, prevenção e condutas
26.10.2024 12h20
COLUNISTA
Zoster ‘vem’ da Varicela ou Catapora
19.10.2024 11h41
COLUNISTA
Zoster ‘vem’ da Varicela ou Catapora
19.10.2024 11h41
COLUNISTA
Dom não existe, só 10 mil horas depois!
12.10.2024 06h51
COLUNISTA
Dom não existe, só 10 mil horas depois!
12.10.2024 06h51
COLUNISTA
O segredo dos alinhadores de dentes
05.10.2024 06h24
COLUNISTA
O segredo dos alinhadores de dentes
05.10.2024 06h24
COLUNISTA
Como prevenir Osteomielites na mandíbula
28.09.2024 10h15
COLUNISTA
Como prevenir Osteomielites na mandíbula
28.09.2024 10h15
COLUNISTA
Osteomielites e bisfosfonatos?
21.09.2024 07h24
COLUNISTA
Osteomielites e bisfosfonatos?
21.09.2024 07h24
COLUNISTA
Por onde vem e passa nosso cheiro?
14.09.2024 06h24
COLUNISTA
Por onde vem e passa nosso cheiro?
14.09.2024 06h24
COLUNISTA
Estes incríveis ossos!
07.09.2024 09h01
COLUNISTA
Estes incríveis ossos!
07.09.2024 09h01
COLUNISTA
Doença autoimune ou a tolerância acabou!
01.09.2024 08h10
COLUNISTA
Doença autoimune ou a tolerância acabou!
01.09.2024 08h10
COLUNISTA
Chiclete modela a mandíbula?
24.08.2024 07h38
COLUNISTA
Chiclete modela a mandíbula?
24.08.2024 07h38
COLUNISTA
Câncer em jovens: cada vez mais!
17.08.2024 08h03
COLUNISTA
Câncer em jovens: cada vez mais!
17.08.2024 08h03
COLUNISTA
Bluetooth é uma homenagem
10.08.2024 06h31
COLUNISTA
Bluetooth é uma homenagem
10.08.2024 06h31
COLUNISTA
Uma “pilha” na boca e lesões liquenoides
03.08.2024 10h00
COLUNISTA
Uma “pilha” na boca e lesões liquenoides
03.08.2024 10h00
COLUNISTA
A língua que fala e os despapilamentos
27.07.2024 07h04
COLUNISTA
A língua que fala e os despapilamentos
27.07.2024 07h04
COLUNISTA
Um tsunâmi de traumatismos dentários
20.07.2024 07h09
COLUNISTA
Um tsunâmi de traumatismos dentários
20.07.2024 07h09
COLUNISTA
Herpes Simples: autocontágio e reinfecção
13.07.2024 06h46
COLUNISTA
Herpes Simples: autocontágio e reinfecção
13.07.2024 06h46
COLUNISTA
Agora é a vez de quem tem conteúdo
06.07.2024 11h00
COLUNISTA
Agora é a vez de quem tem conteúdo
06.07.2024 11h00
COLUNISTA
É mais fácil fazer coração do que dente
29.06.2024 06h08
COLUNISTA
É mais fácil fazer coração do que dente
29.06.2024 06h08
COLUNISTA
Se fosse assim? Quantos sobreviveriam?
22.06.2024 05h37
COLUNISTA
Se fosse assim? Quantos sobreviveriam?
22.06.2024 05h37
COLUNISTA
Os brasões e a Flor-de-Lis
15.06.2024 05h51
COLUNISTA
Os brasões e a Flor-de-Lis
15.06.2024 05h51
COLUNISTA
Dicas para ‘consumir’ Ciência
08.06.2024 06h57
COLUNISTA
Dicas para ‘consumir’ Ciência
08.06.2024 06h57
COLUNISTA
Quais ultraprocessados você come?
01.06.2024 06h00
COLUNISTA
Quais ultraprocessados você come?
01.06.2024 06h00
COLUNISTA
Confira as causas do câncer bucal
25.05.2024 05h51
COLUNISTA
Confira as causas do câncer bucal
25.05.2024 05h51
COLUNISTA
Implantes sem rejeição, alergias e granulomas
18.05.2024 07h28
COLUNISTA
Implantes sem rejeição, alergias e granulomas
18.05.2024 07h28
COLUNISTA
E quase Virchow salvou Beethoven!
11.05.2024 05h14
COLUNISTA
E quase Virchow salvou Beethoven!
11.05.2024 05h14
COLUNISTA
O mundo é um moinho!
04.05.2024 05h42
COLUNISTA
O mundo é um moinho!
04.05.2024 05h42
COLUNISTA
O que dizem as garrafas de água?
27.04.2024 09h31
COLUNISTA
O que dizem as garrafas de água?
27.04.2024 09h31
COLUNISTA
Sincronicidade, existe?
20.04.2024 06h16
COLUNISTA
Sincronicidade, existe?
20.04.2024 06h16
COLUNISTA
Imunidade pode ser comprada?
13.04.2024 10h25
COLUNISTA
Imunidade pode ser comprada?
13.04.2024 10h25
COLUNISTA
É a medula que me tolera!
07.04.2024 12h00
COLUNISTA
É a medula que me tolera!
07.04.2024 12h00
COLUNISTA
Aumento súbito do lábio: iatrogenia?
30.03.2024 12h00
COLUNISTA
Aumento súbito do lábio: iatrogenia?
30.03.2024 12h00
COLUNISTA
Lendas seriam fake news do passado?
23.03.2024 09h44
COLUNISTA
Lendas seriam fake news do passado?
23.03.2024 09h44
COLUNISTA
Pancadas na cabeça e dentes: 'reality show'
17.03.2024 09h00
COLUNISTA
Pancadas na cabeça e dentes: 'reality show'
17.03.2024 09h00
COLUNISTA
Só nas casas! E nas ruas?
09.03.2024 09h01
COLUNISTA
Só nas casas! E nas ruas?
09.03.2024 09h01
COLUNISTA
Relógio de pulso: quem domina quem?
03.03.2024 07h50
COLUNISTA
Relógio de pulso: quem domina quem?
03.03.2024 07h50
COLUNISTA
Está desconfiado de câncer na boca?
25.02.2024 10h00
COLUNISTA
Está desconfiado de câncer na boca?
25.02.2024 10h00
COLUNISTA
Dentaduras não causam câncer
18.02.2024 07h00
COLUNISTA
Dentaduras não causam câncer
18.02.2024 07h00
COLUNISTA
Beijo não é para qualquer um!
10.02.2024 12h08
COLUNISTA
Beijo não é para qualquer um!
10.02.2024 12h08
COLUNISTA
Câncer totalmente evitado
03.02.2024 05h59
COLUNISTA
Câncer totalmente evitado
03.02.2024 05h59
COLUNISTA
Nasa: a forma e o tamanho da Terra
27.01.2024 06h35
COLUNISTA
Nasa: a forma e o tamanho da Terra
27.01.2024 06h35
COLUNISTA
Evitemos complicações pós-procedimentos
20.01.2024 10h26
COLUNISTA
Evitemos complicações pós-procedimentos
20.01.2024 10h26
COLUNISTA
Camélias, símbolo de força e liberdade!
13.01.2024 05h58
COLUNISTA
Camélias, símbolo de força e liberdade!
13.01.2024 05h58
COLUNISTA
Doutor para cá, doutor para lá!
06.01.2024 10h07
COLUNISTA
Doutor para cá, doutor para lá!
06.01.2024 10h07
OPINIÃO
Renascer é todo dia! Como assim?
31.12.2023 09h00
OPINIÃO
Renascer é todo dia! Como assim?
31.12.2023 09h00
COLUNISTA
Chuva de estrelas cadentes, sempre em dezembro!
23.12.2023 11h00
COLUNISTA
Chuva de estrelas cadentes, sempre em dezembro!
23.12.2023 11h00
COLUNISTA
Quem vai desaparecer primeiro?
16.12.2023 08h47
COLUNISTA
Quem vai desaparecer primeiro?
16.12.2023 08h47
COLUNISTA
Alinhadores: uso deve ser contínuo
10.12.2023 09h00
COLUNISTA
Alinhadores: uso deve ser contínuo
10.12.2023 09h00
COLUNISTA
Como afastar o câncer de você
02.12.2023 08h00
COLUNISTA
Como afastar o câncer de você
02.12.2023 08h00
COLUNISTA
Inflamação e o caso Ana Hickmann
26.11.2023 09h03
COLUNISTA
Inflamação e o caso Ana Hickmann
26.11.2023 09h03
COLUNISTA
Como escolher sua universidade?
18.11.2023 08h35
COLUNISTA
Como escolher sua universidade?
18.11.2023 08h35
COLUNISTA
Vamos abraçar mais? Inclusive eu?
12.11.2023 11h03
COLUNISTA
Vamos abraçar mais? Inclusive eu?
12.11.2023 11h03
COLUNISTA
Deficiências não são castigos divinos
04.11.2023 05h10
COLUNISTA
Deficiências não são castigos divinos
04.11.2023 05h10
COLUNISTA
Lições para o dia a dia: que história!
29.10.2023 10h30
COLUNISTA
Lições para o dia a dia: que história!
29.10.2023 10h30
COLUNISTA
Melhorou ou piorou?
22.10.2023 05h00
COLUNISTA
Melhorou ou piorou?
22.10.2023 05h00
COLUNISTA
Como nasceu a Universidade no mundo
14.10.2023 10h20
COLUNISTA
Como nasceu a Universidade no mundo
14.10.2023 10h20
COLUNISTA
Língua que arde é Glossodinia
08.10.2023 11h00
COLUNISTA
Língua que arde é Glossodinia
08.10.2023 11h00
COLUNISTA
O câncer e o HPV: que vitórias!
30.09.2023 14h00
COLUNISTA
O câncer e o HPV: que vitórias!
30.09.2023 14h00
COLUNISTA
Ter virose não é normal
24.09.2023 09h40
COLUNISTA
Ter virose não é normal
24.09.2023 09h40
COLUNISTA
Câncer no mundo, dados incríveis!
17.09.2023 14h00
COLUNISTA
Câncer no mundo, dados incríveis!
17.09.2023 14h00
CIÊNCIA
Sucesso mesmo, só depois do trabalho
09.09.2023 07h18
CIÊNCIA
Sucesso mesmo, só depois do trabalho
09.09.2023 07h18
COLUNISTA
Serendipidade versus Inteligência Artificial
02.09.2023 10h30
COLUNISTA
Serendipidade versus Inteligência Artificial
02.09.2023 10h30
COLUNISTA
Contenção: nada ver com menstruação e infertilidade
27.08.2023 12h30
COLUNISTA
Contenção: nada ver com menstruação e infertilidade
27.08.2023 12h30
COLUNISTA
O beijo e a origem dos vírus: 2.500 a.C.
19.08.2023 09h00
COLUNISTA
O beijo e a origem dos vírus: 2.500 a.C.
19.08.2023 09h00
COLUNISTA
Por que escrevi um livro sobre ossos?
12.08.2023 09h50
COLUNISTA
Por que escrevi um livro sobre ossos?
12.08.2023 09h50
CIÊNCIA
Exames nas farmácias, antes da consulta
06.08.2023 11h00
CIÊNCIA
Exames nas farmácias, antes da consulta
06.08.2023 11h00
CIÊNCIA
A última gota e os adoçantes
29.07.2023 06h00
CIÊNCIA
A última gota e os adoçantes
29.07.2023 06h00
COLUNISTA
Sobre boca e cirurgias: 13 verdades cruéis!
22.07.2023 11h18
COLUNISTA
Sobre boca e cirurgias: 13 verdades cruéis!
22.07.2023 11h18
COLUNA
Os professores e os nossos pais!
16.07.2023 12h28
COLUNA
Os professores e os nossos pais!
16.07.2023 12h28
COLUNA
Universidades e escolas estão esvaziadas?
08.07.2023 11h00
COLUNA
Universidades e escolas estão esvaziadas?
08.07.2023 11h00
COLUNISTA
Boas maneiras e um curso relâmpago
01.07.2023 10h35
COLUNISTA
Boas maneiras e um curso relâmpago
01.07.2023 10h35
COLUNISTA
É mais perigosa a vacina ou a comida?
25.06.2023 06h14
COLUNISTA
É mais perigosa a vacina ou a comida?
25.06.2023 06h14
COLUNISTA
Como se inicia um câncer!
17.06.2023 10h24
COLUNISTA
Como se inicia um câncer!
17.06.2023 10h24
COLUNISTA
Riscos azuis do zap e privacidade!
11.06.2023 07h00
COLUNISTA
Riscos azuis do zap e privacidade!
11.06.2023 07h00
COLUNISTA
Alinhadores de dentes e a gravidez
04.06.2023 12h04
COLUNISTA
Alinhadores de dentes e a gravidez
04.06.2023 12h04
COLUNISTA
Extrair dente pode ser bem menos perigoso
27.05.2023 10h00
COLUNISTA
Extrair dente pode ser bem menos perigoso
27.05.2023 10h00
CIÊNCIA
Banheiros em casa devem ser separados?
21.05.2023 07h00
CIÊNCIA
Banheiros em casa devem ser separados?
21.05.2023 07h00
COLUNISTA
Ignorantes nunca mudam de opinião
14.05.2023 12h00
COLUNISTA
Ignorantes nunca mudam de opinião
14.05.2023 12h00
COLUNISTA
Agulhas injetadas que viram anzóis
06.05.2023 09h59
COLUNISTA
Agulhas injetadas que viram anzóis
06.05.2023 09h59
CIÊNCIA
Que bagunça e um santo remédio
30.04.2023 07h00
CIÊNCIA
Que bagunça e um santo remédio
30.04.2023 07h00
COLUNISTA
Têm mais doenças do que antes?
22.04.2023 10h05
COLUNISTA
Têm mais doenças do que antes?
22.04.2023 10h05
COLUNISTA
Nível cultural cairá mais e Freud explica
16.04.2023 07h00
COLUNISTA
Nível cultural cairá mais e Freud explica
16.04.2023 07h00
CIÊNCIA
Sabes degustar a alegria alheia?
08.04.2023 07h10
CIÊNCIA
Sabes degustar a alegria alheia?
08.04.2023 07h10
COLUNISTA
Você é dente ou osso?
02.04.2023 12h37
COLUNISTA
Você é dente ou osso?
02.04.2023 12h37
COLUNISTA
Envelhecimento se inicia aos 22 anos
25.03.2023 10h00
COLUNISTA
Envelhecimento se inicia aos 22 anos
25.03.2023 10h00
OPINIÃO
A mente, inteligência e o etarismo
19.03.2023 07h00
OPINIÃO
A mente, inteligência e o etarismo
19.03.2023 07h00
CIÊNCIA
Dentes de ouro e a moda “Grillz”: usarias?
11.03.2023 11h06
CIÊNCIA
Dentes de ouro e a moda “Grillz”: usarias?
11.03.2023 11h06
CIÊNCIA
Herança de racista deve ir para o Estado
04.03.2023 09h00
CIÊNCIA
Herança de racista deve ir para o Estado
04.03.2023 09h00
CIÊNCIA
Evitemos o termo “lábio leporino”
25.02.2023 09h35
CIÊNCIA
Evitemos o termo “lábio leporino”
25.02.2023 09h35
CIÊNCIA
Se não sabe o que é, não use, perigo a vista!
18.02.2023 10h37
CIÊNCIA
Se não sabe o que é, não use, perigo a vista!
18.02.2023 10h37
CIÊNCIA
Médicos e dentistas serão dispensados?
12.02.2023 08h00
CIÊNCIA
Médicos e dentistas serão dispensados?
12.02.2023 08h00
CIÊNCIA
O chatGPT parece a volta de Sócrates
04.02.2023 09h25
CIÊNCIA
O chatGPT parece a volta de Sócrates
04.02.2023 09h25
Emprestar batom é beijar outra boca
28.01.2023 07h57
Emprestar batom é beijar outra boca
28.01.2023 07h57
Dentes Conoides e o que significam na família
21.01.2023 05h00
Dentes Conoides e o que significam na família
21.01.2023 05h00
Anodontia Parcial: não se formam alguns dentes
14.01.2023 07h00
Anodontia Parcial: não se formam alguns dentes
14.01.2023 07h00
Compostagem humana ou morte verde: aceitarias?
07.01.2023 08h04
Compostagem humana ou morte verde: aceitarias?
07.01.2023 08h04
Uma explosão de patentes e marcas
31.12.2022 05h00
Uma explosão de patentes e marcas
31.12.2022 05h00
CIÊNCIA
Relógio é retrô e te escraviza!
24.12.2022 06h11
CIÊNCIA
Relógio é retrô e te escraviza!
24.12.2022 06h11
Você dialoga com quem?
17.12.2022 07h16
Você dialoga com quem?
17.12.2022 07h16
De onde vem sua elegância de ser?
10.12.2022 05h00
De onde vem sua elegância de ser?
10.12.2022 05h00
CONSOLARO
Felicidade é tudo misturado: incrível
03.12.2022 06h00
CONSOLARO
Felicidade é tudo misturado: incrível
03.12.2022 06h00
Campeonato de doenças: que loucura!
26.11.2022 06h45
Campeonato de doenças: que loucura!
26.11.2022 06h45
Cuspir no gramado, pode Arnaldo?
19.11.2022 05h00
Cuspir no gramado, pode Arnaldo?
19.11.2022 05h00
CONSOLARO
Ciência nas redes sociais e as ‘fake news’
12.11.2022 05h15
CONSOLARO
Ciência nas redes sociais e as ‘fake news’
12.11.2022 05h15
Celebrando a vida no Qatar!
05.11.2022 07h43
Celebrando a vida no Qatar!
05.11.2022 07h43
Não é visto, é esquecido: o chapéu e a ciência
29.10.2022 05h29
Não é visto, é esquecido: o chapéu e a ciência
29.10.2022 05h29
CIÊNCIA
Como seria a repercussão de sua morte?
22.10.2022 06h00
CIÊNCIA
Como seria a repercussão de sua morte?
22.10.2022 06h00
Alberto Consolaro
Ditaduras religiosas e a teocracia no Irã
17.10.2022 06h32
Alberto Consolaro
Ditaduras religiosas e a teocracia no Irã
17.10.2022 06h32
Alberto Consolaro
O mundo está assim: nos adequemos!
08.10.2022 05h00
Alberto Consolaro
O mundo está assim: nos adequemos!
08.10.2022 05h00
Alberto Consolaro
99,9% é um exagero!
01.10.2022 07h00
Alberto Consolaro
99,9% é um exagero!
01.10.2022 07h00
Alberto Consolaro
Herpesvírus e câncer: um presente de grego!
24.09.2022 06h30
Alberto Consolaro
Herpesvírus e câncer: um presente de grego!
24.09.2022 06h30
Alberto Consolaro
Pílulas de Nietzsche para pensar!
17.09.2022 05h00
Alberto Consolaro
Pílulas de Nietzsche para pensar!
17.09.2022 05h00
Alberto Consolaro
Por que alguns odeiam a ciência?
10.09.2022 06h27
Alberto Consolaro
Por que alguns odeiam a ciência?
10.09.2022 06h27
Alberto Consolaro
Aula: eu me fiz entender?
03.09.2022 07h04
Alberto Consolaro
Aula: eu me fiz entender?
03.09.2022 07h04
Alberto Consolaro
Aula não é igual tecnologia
27.08.2022 06h39
Alberto Consolaro
Aula não é igual tecnologia
27.08.2022 06h39
Alberto Consolaro
Como são os Camaleões
20.08.2022 06h24
Alberto Consolaro
Como são os Camaleões
20.08.2022 06h24
Alberto Consolaro
A essência da universidade e a USP
13.08.2022 06h47
Alberto Consolaro
A essência da universidade e a USP
13.08.2022 06h47
Alberto Consolaro
Quem ‘pega’ a varíola dos macacos?
06.08.2022 06h42
Alberto Consolaro
Quem ‘pega’ a varíola dos macacos?
06.08.2022 06h42
Alberto Consolaro
Você já virou pedra, ou não?
30.07.2022 06h48
Alberto Consolaro
Você já virou pedra, ou não?
30.07.2022 06h48
Alberto Consolaro
Mitos sobre ossos e dentes
23.07.2022 06h30
Alberto Consolaro
Mitos sobre ossos e dentes
23.07.2022 06h30
Alberto Consolaro
Os ogros serão dizimados!
16.07.2022 06h42
Alberto Consolaro
Os ogros serão dizimados!
16.07.2022 06h42
Alberto Consolaro
Você é um ser solidário?
09.07.2022 06h13
Alberto Consolaro
Você é um ser solidário?
09.07.2022 06h13
Alberto Consolaro
Como o estresse mental debilita
02.07.2022 05h00
Alberto Consolaro
Como o estresse mental debilita
02.07.2022 05h00
Alberto Consolaro
O modo 'debilidade orgânica' existe?
25.06.2022 05h00
Alberto Consolaro
O modo 'debilidade orgânica' existe?
25.06.2022 05h00
Alberto Consolaro
Esquartejamentos e uma carta a meu pai
18.06.2022 06h40
Alberto Consolaro
Esquartejamentos e uma carta a meu pai
18.06.2022 06h40
Alberto Consolaro
Porque doenças 'estranhas' aparecem
11.06.2022 06h08
Alberto Consolaro
Porque doenças 'estranhas' aparecem
11.06.2022 06h08
Alberto Consolaro
Tatuagens nas mucosas: pode?
04.06.2022 05h00
Alberto Consolaro
Tatuagens nas mucosas: pode?
04.06.2022 05h00
Alberto Consolaro
Envelhecer começa aos 22 anos: e agora?
28.05.2022 06h58
Alberto Consolaro
Envelhecer começa aos 22 anos: e agora?
28.05.2022 06h58
Alberto Consolaro
Nunca dizem não sei e nem me desculpe!
21.05.2022 06h00
Alberto Consolaro
Nunca dizem não sei e nem me desculpe!
21.05.2022 06h00
Alberto Consolaro
Mentiras sobre o álcool
14.05.2022 05h00
Alberto Consolaro
Mentiras sobre o álcool
14.05.2022 05h00
Alberto Consolaro
Vamos imitar Sócrates uma vez por dia?
07.05.2022 05h51
Alberto Consolaro
Vamos imitar Sócrates uma vez por dia?
07.05.2022 05h51
Alberto Consolaro
A boca nas terapias dos cânceres: fundamental!
30.04.2022 06h01
Alberto Consolaro
A boca nas terapias dos cânceres: fundamental!
30.04.2022 06h01
Alberto Consolaro
Vírus no corpo são ‘amigos’ para sempre!
23.04.2022 07h00
Alberto Consolaro
Vírus no corpo são ‘amigos’ para sempre!
23.04.2022 07h00
Alberto Consolaro
Quem é quem no ensinar: você sabe?
16.04.2022 05h00
Alberto Consolaro
Quem é quem no ensinar: você sabe?
16.04.2022 05h00
Alberto Consolaro
Professores mudaram países!
09.04.2022 09h37
Alberto Consolaro
Professores mudaram países!
09.04.2022 09h37
Alberto Consolaro
Precisamos 'reaprender' a falar
02.04.2022 05h00
Alberto Consolaro
Precisamos 'reaprender' a falar
02.04.2022 05h00
Alberto Consolaro
Você é trans ou monotemático?
26.03.2022 06h05
Alberto Consolaro
Você é trans ou monotemático?
26.03.2022 06h05
Alberto Consolaro
A saburra evolui para a língua pilosa!
19.03.2022 06h10
Alberto Consolaro
A saburra evolui para a língua pilosa!
19.03.2022 06h10
Alberto Consolaro
Livros e o BBB, na guerra e inundação!
12.03.2022 05h00
Alberto Consolaro
Livros e o BBB, na guerra e inundação!
12.03.2022 05h00
Alberto Consolaro
Por que você tem esta cor de pele?
05.03.2022 06h36
Alberto Consolaro
Por que você tem esta cor de pele?
05.03.2022 06h36
Alberto Consolaro
Efeito da vacina é temporário, mas vital
26.02.2022 06h00
Alberto Consolaro
Efeito da vacina é temporário, mas vital
26.02.2022 06h00
Alberto Consolaro
Violência inocente ou sem querer existe?
19.02.2022 05h00
Alberto Consolaro
Violência inocente ou sem querer existe?
19.02.2022 05h00
Alberto Consolaro
Chás, garrafadas e cápsulas: muito cuidado!
12.02.2022 06h47
Alberto Consolaro
Chás, garrafadas e cápsulas: muito cuidado!
12.02.2022 06h47
Alberto Consolaro
Esqueleto é diferente de osso
05.02.2022 05h00
Alberto Consolaro
Esqueleto é diferente de osso
05.02.2022 05h00
Alberto Consolaro
Um pega Covid e o outro, não!
29.01.2022 05h00
Alberto Consolaro
Um pega Covid e o outro, não!
29.01.2022 05h00
Alberto Consolaro
Covid e hanseníase: a ignorância maldosa
22.01.2022 06h02
Alberto Consolaro
Covid e hanseníase: a ignorância maldosa
22.01.2022 06h02
Alberto Consolaro
A alucinante imunidade coletiva
15.01.2022 16h52
Alberto Consolaro
A alucinante imunidade coletiva
15.01.2022 16h52
Alberto Consolaro
A alucinante imunidade coletiva
15.01.2022 05h00
Alberto Consolaro
A alucinante imunidade coletiva
15.01.2022 05h00
Alberto Consolaro
Você está imune mesmo?
08.01.2022 07h00
Alberto Consolaro
Você está imune mesmo?
08.01.2022 07h00
Alberto Consolaro
Que fiquemos com braços compridos!
01.01.2022 06h00
Alberto Consolaro
Que fiquemos com braços compridos!
01.01.2022 06h00
Alberto Consolaro
O amor perdeu ... ou ainda não?
25.12.2021 06h50
Alberto Consolaro
O amor perdeu ... ou ainda não?
25.12.2021 06h50
Alberto Consolaro
Sino e brasão da USP: os significados
18.12.2021 05h00
Alberto Consolaro
Sino e brasão da USP: os significados
18.12.2021 05h00
Alberto Consolaro
Ouvir não é igual a escutar!
11.12.2021 05h00
Alberto Consolaro
Ouvir não é igual a escutar!
11.12.2021 05h00
Alberto Consolaro
Esquinas da boca: cuide cedo dos caninos!
04.12.2021 05h00
Alberto Consolaro
Esquinas da boca: cuide cedo dos caninos!
04.12.2021 05h00
Alberto Consolaro
Todos os vírus são sorrateiros!
27.11.2021 05h25
Alberto Consolaro
Todos os vírus são sorrateiros!
27.11.2021 05h25
Alberto Consolaro
Revolução das máquinas e ignorância chipada
20.11.2021 16h13
Alberto Consolaro
Revolução das máquinas e ignorância chipada
20.11.2021 16h13
Alberto Consolaro
Vem no carnaval? Quando tomou a vacina?
13.11.2021 05h00
Alberto Consolaro
Vem no carnaval? Quando tomou a vacina?
13.11.2021 05h00
Alberto Consolaro
As incríveis lições dos biofilmes!
06.11.2021 09h49
Alberto Consolaro
As incríveis lições dos biofilmes!
06.11.2021 09h49
Alberto Consolaro
Quem usa Tik Tok será titio amanhã
30.10.2021 05h00
Alberto Consolaro
Quem usa Tik Tok será titio amanhã
30.10.2021 05h00
Alberto Consolaro
E-cigarros: biomarcadores de câncer na urina
23.10.2021 05h00
Alberto Consolaro
E-cigarros: biomarcadores de câncer na urina
23.10.2021 05h00
Alberto Consolaro
Onde se aprende a roubar?
16.10.2021 05h56
Alberto Consolaro
Onde se aprende a roubar?
16.10.2021 05h56
Alberto Consolaro
A boca é pura emoção
09.10.2021 05h00
Alberto Consolaro
A boca é pura emoção
09.10.2021 05h00
Alberto Consolaro
Ciência ilumina o mundo, e a política?
02.10.2021 07h00
Alberto Consolaro
Ciência ilumina o mundo, e a política?
02.10.2021 07h00
Alberto Consolaro
De onde vem a grosseria?
25.09.2021 07h48
Alberto Consolaro
De onde vem a grosseria?
25.09.2021 07h48
Alberto Consolaro
Atrasar sim, fazer esperar não!
18.09.2021 05h00
Alberto Consolaro
Atrasar sim, fazer esperar não!
18.09.2021 05h00
Alberto Consolaro
A maledicência é um bumerangue!
11.09.2021 05h00
Alberto Consolaro
A maledicência é um bumerangue!
11.09.2021 05h00
Alberto Consolaro
A boca e os corpos enfraquecidos!
04.09.2021 05h24
Alberto Consolaro
A boca e os corpos enfraquecidos!
04.09.2021 05h24
Alberto Consolaro
A ciência da felicidade
28.08.2021 07h00
Alberto Consolaro
A ciência da felicidade
28.08.2021 07h00
Alberto Consolaro
Vantagem de tomar a mesma vacina
21.08.2021 07h00
Alberto Consolaro
Vantagem de tomar a mesma vacina
21.08.2021 07h00
Alberto Consolaro
És competente ou competitivo?
14.08.2021 05h45
Alberto Consolaro
És competente ou competitivo?
14.08.2021 05h45
Alberto Consolaro
Câncer e opções de vida: tudo a ver!
07.08.2021 06h37
Alberto Consolaro
Câncer e opções de vida: tudo a ver!
07.08.2021 06h37
Alberto Consolaro
Bati no dente, o que faço?
31.07.2021 05h00
Alberto Consolaro
Bati no dente, o que faço?
31.07.2021 05h00
Alberto Consolaro
Como será aquela boca sob a máscara?
24.07.2021 07h00
Alberto Consolaro
Como será aquela boca sob a máscara?
24.07.2021 07h00
Alberto Consolaro
Decoronação... E o novo sempre vem!
17.07.2021 06h14
Alberto Consolaro
Decoronação... E o novo sempre vem!
17.07.2021 06h14
Alberto Consolaro
Beijo e saliva também passam Covid
10.07.2021 05h00
Alberto Consolaro
Beijo e saliva também passam Covid
10.07.2021 05h00
Alberto Consolaro
Quem está imunizado?
03.07.2021 06h39
Alberto Consolaro
Quem está imunizado?
03.07.2021 06h39
Alberto Consolaro
Bula para o final da pandemia
26.06.2021 05h44
Alberto Consolaro
Bula para o final da pandemia
26.06.2021 05h44
Alberto Consolaro
Boca: porque negam as máscaras
19.06.2021 05h00
Alberto Consolaro
Boca: porque negam as máscaras
19.06.2021 05h00
Alberto Consolaro
Será que ogros e grosserias aumentaram?
12.06.2021 05h29
Alberto Consolaro
Será que ogros e grosserias aumentaram?
12.06.2021 05h29
Alberto Consolaro
Já estou preparado para a 3ª dose
05.06.2021 10h43
Alberto Consolaro
Já estou preparado para a 3ª dose
05.06.2021 10h43
Alberto Consolaro
Prevenção do indignante câncer bucal
29.05.2021 07h00
Alberto Consolaro
Prevenção do indignante câncer bucal
29.05.2021 07h00
Alberto Consolaro
Quando um cientista se vai ...
22.05.2021 05h28
Alberto Consolaro
Quando um cientista se vai ...
22.05.2021 05h28
Alberto Consolaro
Qual seu nível de letramento científico?
15.05.2021 05h56
Alberto Consolaro
Qual seu nível de letramento científico?
15.05.2021 05h56
Alberto Consolaro
Inflamação ama, imunidade tolera
08.05.2021 07h00
Alberto Consolaro
Inflamação ama, imunidade tolera
08.05.2021 07h00
Alberto Consolaro
'Todos vão pegar' e a doença dos 'is'
01.05.2021 05h00
Alberto Consolaro
'Todos vão pegar' e a doença dos 'is'
01.05.2021 05h00
Alberto Consolaro
Poucos anticorpos pós-vacina. E agora?
24.04.2021 11h12
Alberto Consolaro
Poucos anticorpos pós-vacina. E agora?
24.04.2021 11h12
Alberto Consolaro
Flúor em dose excessiva pode matar
17.04.2021 06h00
Alberto Consolaro
Flúor em dose excessiva pode matar
17.04.2021 06h00
Alberto Consolaro
Chamar o cara de doutor, é demais!
10.04.2021 11h20
Alberto Consolaro
Chamar o cara de doutor, é demais!
10.04.2021 11h20
Alberto Consolaro
Herpangina gera confusão diagnóstica
03.04.2021 07h50
Alberto Consolaro
Herpangina gera confusão diagnóstica
03.04.2021 07h50
Alberto Consolaro
Forma e volume ósseo: quem?
27.03.2021 07h00
Alberto Consolaro
Forma e volume ósseo: quem?
27.03.2021 07h00
Alberto Consolaro
Coronavírus e o Deus invisível
20.03.2021 05h00
Alberto Consolaro
Coronavírus e o Deus invisível
20.03.2021 05h00
Alberto Consolaro
Cicatrizar não é reparar
13.03.2021 07h00
Alberto Consolaro
Cicatrizar não é reparar
13.03.2021 07h00
Alberto Consolaro
O vírus atua nos órgãos dos sentidos?
06.03.2021 07h00
Alberto Consolaro
O vírus atua nos órgãos dos sentidos?
06.03.2021 07h00
Alberto Consolaro
'Para que preservar a Terra?'
27.02.2021 08h06
Alberto Consolaro
'Para que preservar a Terra?'
27.02.2021 08h06
Alberto Consolaro
Fim da Covid: a lição de um anjo
20.02.2021 07h29
Alberto Consolaro
Fim da Covid: a lição de um anjo
20.02.2021 07h29
Alberto Consolaro
Dicas para os vacinados
13.02.2021 07h00
Alberto Consolaro
Dicas para os vacinados
13.02.2021 07h00
Alberto Consolaro
O esmalte do dente tem vida?
06.02.2021 06h25
Alberto Consolaro
O esmalte do dente tem vida?
06.02.2021 06h25
Alberto Consolaro
Por que os dentes amarelam?
30.01.2021 07h00
Alberto Consolaro
Por que os dentes amarelam?
30.01.2021 07h00
Alberto Consolaro
Voltaremos a ser 'limpinhos'?
23.01.2021 07h00
Alberto Consolaro
Voltaremos a ser 'limpinhos'?
23.01.2021 07h00
Alberto Consolaro
Relação do gesso e plásticos com a Ford
16.01.2021 05h59
Alberto Consolaro
Relação do gesso e plásticos com a Ford
16.01.2021 05h59
Alberto Consolaro
Armadilhas e os 'antivirais'
09.01.2021 06h47
Alberto Consolaro
Armadilhas e os 'antivirais'
09.01.2021 06h47
Alberto Consolaro
Já tive. Eu ainda transmito?
02.01.2021 07h00
Alberto Consolaro
Já tive. Eu ainda transmito?
02.01.2021 07h00
Alberto Consolaro
Imunidade da doença ou da vacina?
26.12.2020 12h00
Alberto Consolaro
Imunidade da doença ou da vacina?
26.12.2020 12h00
Alberto Consolaro
Calos na mão deste professor
19.12.2020 08h00
Alberto Consolaro
Calos na mão deste professor
19.12.2020 08h00
Alberto Consolaro
Os dentes caem na Covid?
13.12.2020 07h00
Alberto Consolaro
Os dentes caem na Covid?
13.12.2020 07h00
Alberto Consolaro
Vacinas: você decide qual
05.12.2020 06h00
Alberto Consolaro
Vacinas: você decide qual
05.12.2020 06h00
Alberto Consolaro
O que é antissepsia bucal?
28.11.2020 07h00
Alberto Consolaro
O que é antissepsia bucal?
28.11.2020 07h00
Alberto Consolaro
Fissurada: uma língua diferente
21.11.2020 08h00
Alberto Consolaro
Fissurada: uma língua diferente
21.11.2020 08h00
Alberto Consolaro
Você se parece com osso? Como assim?
14.11.2020 07h23
Alberto Consolaro
Você se parece com osso? Como assim?
14.11.2020 07h23
Alberto Consolaro
A língua é o espelho da saúde!
07.11.2020 07h00
Alberto Consolaro
A língua é o espelho da saúde!
07.11.2020 07h00
Alberto Consolaro
Informação e conhecimento: sinônimos?
31.10.2020 07h00
Alberto Consolaro
Informação e conhecimento: sinônimos?
31.10.2020 07h00
Alberto Consolaro
Vacinas: uma forma simples de entender!
24.10.2020 07h00
Alberto Consolaro
Vacinas: uma forma simples de entender!
24.10.2020 07h00
Alberto Consolaro
Reinfecção pela Covid-19: mito ou verdade?
17.10.2020 05h00
Alberto Consolaro
Reinfecção pela Covid-19: mito ou verdade?
17.10.2020 05h00
Alberto Consolaro
Te desafio a ser poeta por um dia?
10.10.2020 09h02
Alberto Consolaro
Te desafio a ser poeta por um dia?
10.10.2020 09h02
Alberto Consolaro
Zoster acima dos 40: vacinem!
03.10.2020 05h00
Alberto Consolaro
Zoster acima dos 40: vacinem!
03.10.2020 05h00
Alberto Consolaro
Razões dos que não usam máscaras!
26.09.2020 07h00
Alberto Consolaro
Razões dos que não usam máscaras!
26.09.2020 07h00
Alberto Consolaro
Vírus entram, mas não saem do corpo?
19.09.2020 07h00
Alberto Consolaro
Vírus entram, mas não saem do corpo?
19.09.2020 07h00
Alberto Consolaro
Três curiosidades incríveis!
12.09.2020 09h53
Alberto Consolaro
Três curiosidades incríveis!
12.09.2020 09h53
Alberto Consolaro
Pedras que rolam no corpo e na saliva!
05.09.2020 07h00
Alberto Consolaro
Pedras que rolam no corpo e na saliva!
05.09.2020 07h00
Alberto Consolaro
A paralisia facial tem aumentado?
29.08.2020 07h00
Alberto Consolaro
A paralisia facial tem aumentado?
29.08.2020 07h00
Alberto Consolaro
Doença óssea mandibular de mulheres negras!
22.08.2020 07h00
Alberto Consolaro
Doença óssea mandibular de mulheres negras!
22.08.2020 07h00
Alberto Consolaro
Por que se tem Osteomielites?
15.08.2020 08h00
Alberto Consolaro
Por que se tem Osteomielites?
15.08.2020 08h00
Alberto Consolaro
Meu dente saudável escureceu! E agora?
08.08.2020 07h00
Alberto Consolaro
Meu dente saudável escureceu! E agora?
08.08.2020 07h00
Alberto Consolaro
Trombose da Covid no soalho da boca
01.08.2020 05h00
Alberto Consolaro
Trombose da Covid no soalho da boca
01.08.2020 05h00
Alberto Consolaro
Como virei escritor?
25.07.2020 07h00
Alberto Consolaro
Como virei escritor?
25.07.2020 07h00
Alberto Consolaro
O cheiro e as nossas lembranças!
18.07.2020 07h00
Alberto Consolaro
O cheiro e as nossas lembranças!
18.07.2020 07h00
Alberto Consolaro
Irmãos siameses e a curiosidade humana!
11.07.2020 05h00
Alberto Consolaro
Irmãos siameses e a curiosidade humana!
11.07.2020 05h00
Alberto Consolaro
Devolva as flores de minha amiga!
04.07.2020 07h00
Alberto Consolaro
Devolva as flores de minha amiga!
04.07.2020 07h00
Alberto Consolaro
Vida de vírus não é fácil: uma odisseia!
27.06.2020 06h51
Alberto Consolaro
Vida de vírus não é fácil: uma odisseia!
27.06.2020 06h51
Alberto Consolaro
Você é osso, dente ou língua?
20.06.2020 07h00
Alberto Consolaro
Você é osso, dente ou língua?
20.06.2020 07h00
Alberto Consolaro
Herpes simples em adultos!
13.06.2020 07h36
Alberto Consolaro
Herpes simples em adultos!
13.06.2020 07h36
Alberto Consolaro
Herpes simples em crianças!
06.06.2020 07h00
Alberto Consolaro
Herpes simples em crianças!
06.06.2020 07h00
Alberto Consolaro
Quem inventou esta tal ‘Ciência’?
30.05.2020 07h00
Alberto Consolaro
Quem inventou esta tal ‘Ciência’?
30.05.2020 07h00
Alberto Consolaro
Desinfetante ou antisséptico: e as câmaras?
23.05.2020 07h00
Alberto Consolaro
Desinfetante ou antisséptico: e as câmaras?
23.05.2020 07h00
Alberto Consolaro
Escova, dentifrício e fio: e os bochechos?
16.05.2020 11h09
Alberto Consolaro
Escova, dentifrício e fio: e os bochechos?
16.05.2020 11h09
Alberto Consolaro
O jovem ou o idoso: quem vai morrer?
09.05.2020 11h49
Alberto Consolaro
O jovem ou o idoso: quem vai morrer?
09.05.2020 11h49
Alberto Consolaro
Disgeusia é paladar alterado! E anosmia?
02.05.2020 00h00
Alberto Consolaro
Disgeusia é paladar alterado! E anosmia?
02.05.2020 00h00
Alberto Consolaro
Teste deu positivo! Estou imune?
25.04.2020 07h00
Alberto Consolaro
Teste deu positivo! Estou imune?
25.04.2020 07h00
Alberto Consolaro
Estresse provoca lesões na boca!
18.04.2020 07h00
Alberto Consolaro
Estresse provoca lesões na boca!
18.04.2020 07h00
Alberto Consolaro
É tempo de palavras, jeitos e trejeitos
11.04.2020 07h00
Alberto Consolaro
É tempo de palavras, jeitos e trejeitos
11.04.2020 07h00
Alberto Consolaro
Depois dessa, vou abraçar muito mais!
04.04.2020 07h00
Alberto Consolaro
Depois dessa, vou abraçar muito mais!
04.04.2020 07h00
Alberto Consolaro
Como enfrentas o imponderável?
28.03.2020 07h00
Alberto Consolaro
Como enfrentas o imponderável?
28.03.2020 07h00
Alberto Consolaro
Carne fabricada sem pastos e abates!
10.08.2019 06h00
Alberto Consolaro
Carne fabricada sem pastos e abates!
10.08.2019 06h00
Alberto Consolaro
Câncer bucal: os sinais iniciais!
03.08.2019 06h00
Alberto Consolaro
Câncer bucal: os sinais iniciais!
03.08.2019 06h00