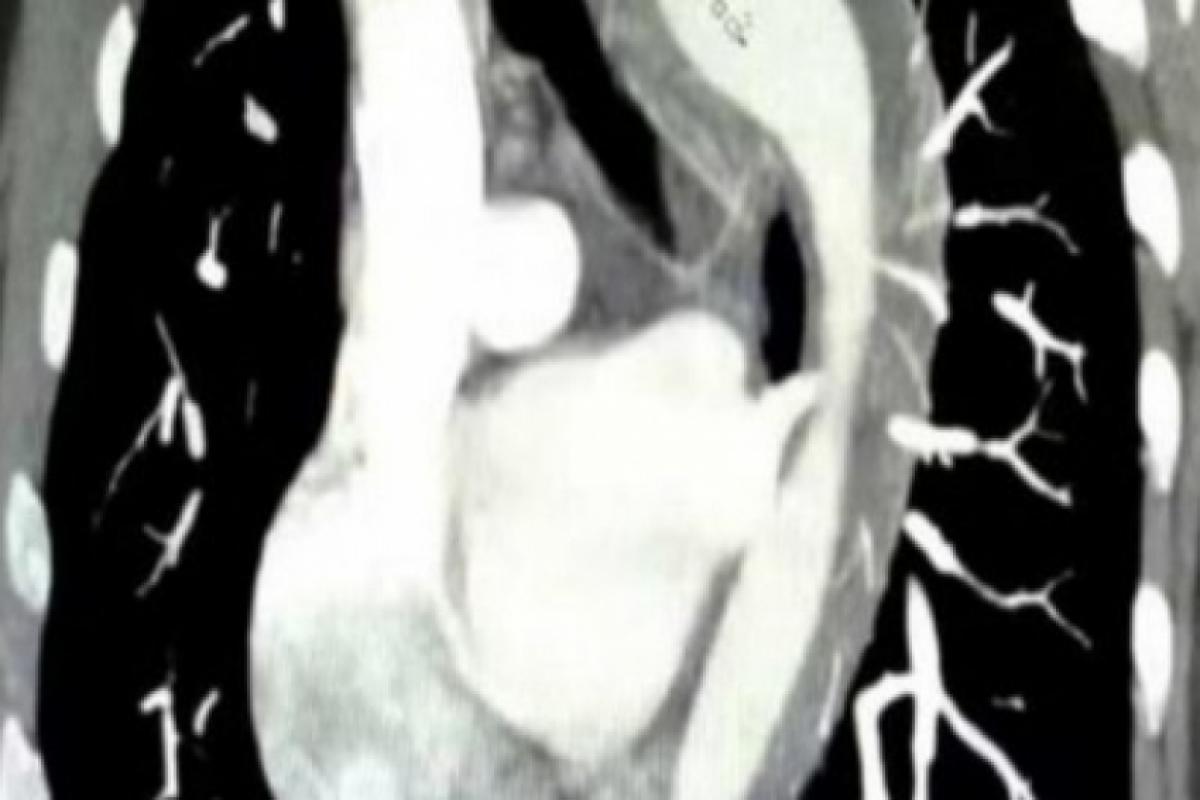
ROMPEU A AORTA

Mulher fica em estado grave após chegar ao orgasmo com o marido

Por Da redação | Brasil
| Tempo de leitura: 1 min
Reprodução

Uma mulher foi socorrida em estado grave após atingir o orgasmo durante uma 'rapidinha' com o marido. Durante a relação sexual, a esposa sofreu o rompimento da artéria aorta e precisou ser socorrida.

Clique aqui para fazer parte da comunidade de OVALE no WhatsApp e receber notícias em primeira mão. E clique aqui para participar também do canal de OVALE no WhatsApp

O caso da mulher, de 45 anos, foi divulgado pela revista científica "American Journal of Case Reports".

No meio da relação, a mulher teria reclamado de dores no peito. Ela relatou ter sentido um 'estalo' no momento do orgasmo, seguida de uma dor que se assemelhava a uma "facada". Segundo os médicos, a mulher era fumante havia 17 anos.

Comentários

Comentários