CORPO ESTRANHO

Homem some de hospital após retirada de objeto do ânus

Por Claudio César |
| Tempo de leitura: 1 min
Redes Sociais
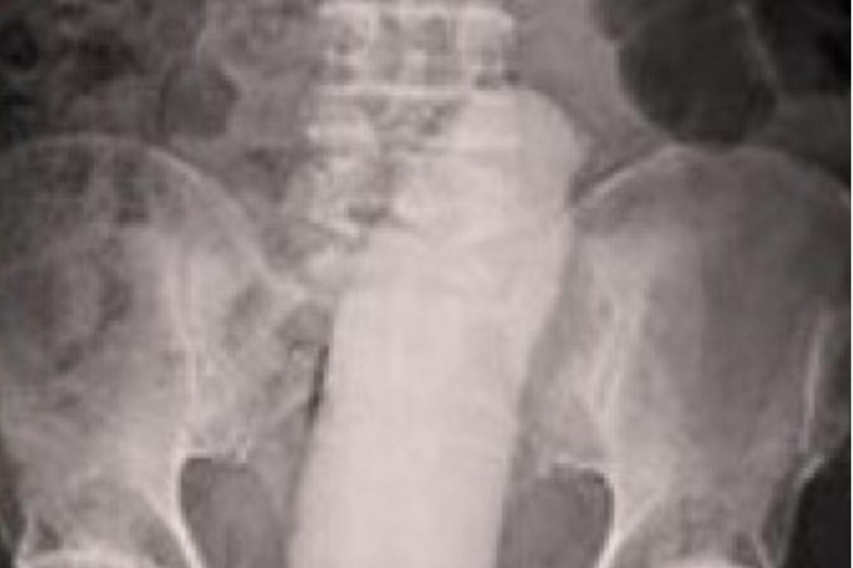
Após dar entrada na unidade, o homem foi encaminhado às pressas para a cirurgia.
Após dar entrada na unidade, o homem foi encaminhado às pressas para a cirurgia.

 Um homem que precisou ser internado às pressas para a retirada de um objeto introduzido no ânus, desapareceu misteriosamente no último sábado (21), após o procedimento cirúrgico no Hospital Vale do Guaporé, em Pontes e Lacerda (a 450 km de Cuiabá).

VEJA MAIS:

Segundo informações, o paciente foi atendido em caráter de emergência e encaminhado diretamente para a cirurgia. No entanto, por volta das 17h45, a equipe médica percebeu que o homem havia desaparecido do hospital, levando consigo todos seus pertences.

A direção da instituição não divulgou detalhes sobre o estado de saúde do paciente e o tipo de objeto que estava dentro do homem.

Comentários

Comentários